Kiến thức
SỰ KIỆN NỔI BẬT
VIDEO NỔI BẬT
Cấy ghép Implant
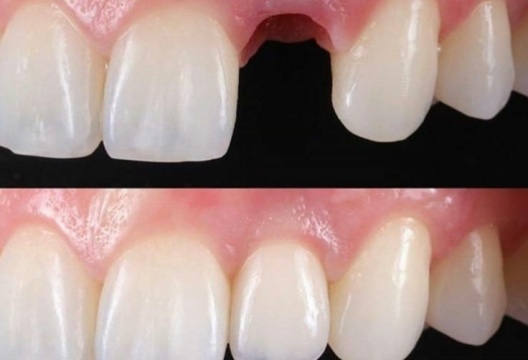
MẤT RĂNG PHẢI LÀM GÌ. NGUYÊN NHÂN VÀ GIẢI PHÁP HIỆN NAY
Mất răng là tình trạng không hiếm gặp và có thể xảy ra ở mọi lứa tuổi, từ người trẻ đến người cao tuổi. Tuy nhiên, nhiều người vẫn chủ quan cho rằng mất một vài chiếc răng không ảnh hưởng quá nhiều đến sức khỏe. Thực tế,...
CÁC PHƯƠNG PHÁP TRỒNG RĂNG IMPLANT HIỆN NAY
Mất răng gây ảnh hưởng đến thẩm mỹ, giảm chức năng ăn nhai lâu dần có thể dẫn đến những trường hợp nguy hiểm như tiêu xương hàm từ đó khiến sức khỏe răng miệng ngày càng tệ đi. Trong số các giải pháp hiện nay, phương pháp trồng...
TRỒNG RĂNG IMPLANT Ở ĐÂU UY TÍN? TOP 10 ĐỊA CHỈ CẤY GHÉP IMPLANT TỐT TPHCM
Trong những năm gần đây, trồng răng Implant ngày càng được nhiều người lựa chọn nhờ khả năng phục hồi răng mất hiệu quả và bền vững. Tuy nhiên, song song với nhu cầu tăng cao là sự xuất hiện của nhiều cơ sở nha khoa với chất lượng...
TRỒNG 1 RĂNG GIÁ BAO NHIÊU TIỀN? THỜI GIAN TRỒNG BAO LÂU?
Mất răng gây ảnh hưởng trực tiếp đến khả năng ăn nhai, thẩm mỹ gương mặt và sức khỏe răng miệng lâu dài. Trồng răng giả là giải pháp được nhiều người lựa chọn để phục hồi răng đã mất. Vậy trồng răng giả giá bao nhiêu tiền,...
ĐỊA CHỈ TRỒNG RĂNG UY TÍN TẠI BẾN TRE. CHI PHÍ CÁC DÒNG TRỤ IMPLANT
Trong bối cảnh nhu cầu chăm sóc sức khỏe răng miệng ngày càng được quan tâm, việc tìm kiếm một địa chỉ trồng răng uy tín tại Bến Tre là mối quan tâm của nhiều khách hàng. Giữa nhiều phòng khám nha khoa hiện nay, lựa chọn đúng cơ sở...
MẤT RĂNG HÀM ẢNH HƯỞNG THẾ NÀO? CÓ NÊN TRỒNG RĂNG HÀM KHÔNG?
Mất răng hàm tuy không dễ nhận thấy nhưng lại ảnh hưởng lớn đến khả năng ăn nhai, khớp cắn và sức khỏe xương hàm. Vậy mất răng hàm ảnh hưởng như thế nào và có nên trồng lại sớm không? Cùng tìm hiểu chi tiết trong bài viết dưới...
NỖI KHỔ KHI BỊ MẤT RĂNG - GIẢI PHÁP PHỤC HỒI RĂNG MẤT HIỆU QUẢ
Mất răng gây khó ăn nhai, tiêu xương, lão hóa sớm. Tìm hiểu nỗi khổ khi mất răng và giải pháp phục hồi răng hiệu quả, an toàn tại Nha Khoa Nhật Minh.
VIỆT KIỀU VỀ NƯỚC: TRỒNG RĂNG IMPLANT AN TOÀN - ƯU ĐÃI LỚN DỊP TẾT 2026
Trồng răng Implant tại Việt Nam là lựa chọn tối ưu cho Việt kiều về nước dịp Tết: tiết kiệm chi phí, phục hình an toàn, nhanh chóng – ưu đãi đến 30 triệu tại Nha khoa Nhật Minh.
TRỤ IMPLANT OSSTEM (HÀN QUỐC) - CHI PHÍ ƯU VÀ NHƯỢC ĐIỂM
Trụ Implant Osstem có nguồn gốc từ Hàn Quốc, với nhiều ưu điểm nổi bật nên được rất nhiều khách hàng ưa chuộng. Cùng Nha Khoa Nhật Minh tìm hiểu tất tần tật những thông tin về trụ Implant Osstem để xem nó mang lại hiệu quả như thế...
TRỒNG RĂNG IMPLANT KỊP ĐÓN TẾT - ƯU ĐÃI TRỌN GÓI TỪ 12 TRIỆU
Trồng răng Implant dịp cuối năm giúp ăn uống ngon miệng, thẩm mỹ tự nhiên. Ưu đãi lớn: trụ Osstem 12 triệu, tặng CT Cone Beam và scan 3D.
Trồng răng Implant ăn tết giải pháp cho nụ cười hoàn hảo, trọn vẹn mùa lễ
Trồng răng Implant ăn Tết theo hai pha. Cấy trụ ít xâm lấn, có răng tạm thẩm mỹ trước lễ; sau Tết gắn mão sứ vĩnh viễn. Ăn ngon, cười đẹp, bền vững.
Trồng răng có đau không? Tại sao lại phải trồng răng?
Trồng răng có đau không? Giải thích mức đau theo từng giai đoạn, lý do nên trồng sớm và bí quyết “ít đau – lành nhanh” với kỹ thuật số hóa, ít xâm lấn.



