Kiến thức
SỰ KIỆN NỔI BẬT
VIDEO NỔI BẬT
BỌC RĂNG SỨ AN TOÀN, NHANH CHÓNG CHO VIỆT KIỀU TẠI NHA KHOA NHẬT MINH
1. Thẩm mỹ răng sứ là gì? Phù hợp với ai?
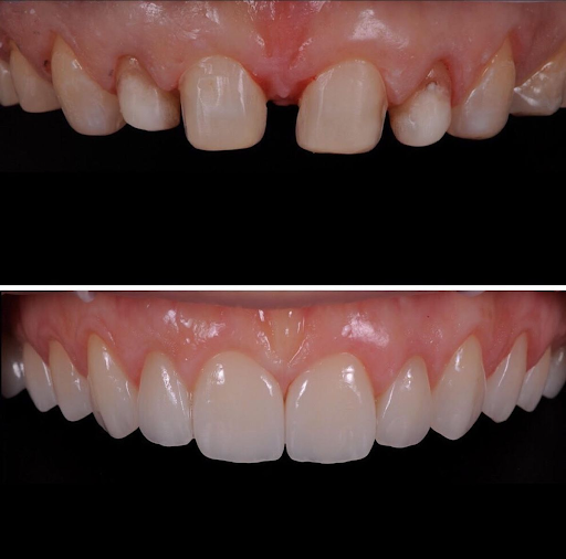
Bọc răng sứ là phương pháp sử dụng mão sứ phủ lên răng thật, giúp cải thiện màu sắc, hình thể và khả năng ăn nhai, đồng thời che đi các khuyết điểm như: răng xỉn màu, thưa, mẻ, lệch nhẹ hoặc đã điều trị tủy.
Tại Nha Khoa Nhật Minh, khách hàng có thể lựa chọn nhiều dòng răng sứ cao cấp như: Zirconia, E.max, Veneer, với tuổi thọ lên đến 15–20 năm.
.png)
Tìm hiểu thêm thông tin về thẩm mỹ răng sứ tại: Các dòng răng sứ toàn sứ cao cấp tại Nhật Minh
2. Vì sao Việt kiều nên làm răng sứ khi về Việt Nam?
-Chi phí hợp lý, hiệu quả cao
Chi phí bọc răng sứ tại nước ngoài (Mỹ, Úc, Canada) thường cao gấp 2–3 lần so với Việt Nam, trong khi công nghệ và vật liệu hoàn toàn tương đương. Việt kiều có thể tiết kiệm hàng chục triệu đồng mà vẫn đảm bảo chất lượng điều trị.
-Lịch trình linh hoạt, phù hợp thời gian lưu trú
Chỉ trong 2–3 buổi, khách đã có thể hoàn thiện nụ cười mới. Nha Khoa Nhật Minh luôn chủ động thời gian điều trị theo lịch bay về nước, thiết kế phác đồ cá nhân hóa cho từng khách Việt kiều, tối ưu thời gian và hiệu quả.
-> Nhận tư vấn lịch trình phù hợp qua Zalo/hotline: 18008280 - 093.888.1230 (24/24)
3. Ai nên thẩm mỹ răng sứ dịp Tết này?
- Răng bị xỉn màu, ố vàng lâu năm mà các phương pháp tẩy trắng thông thường không còn hiệu quả
- Răng bị mòn men, nứt, vỡ hoặc mẻ do ăn nhai trong thời gian dài
- Răng thưa, lệch nhẹ hoặc hơi hô, nhưng không muốn niềng răng mất thời gian
- Răng sứ đã làm từ trước bị xuống màu, bong tróc hoặc đen viền nướu, ảnh hưởng đến thẩm mỹ
.png)
Đặc biệt, những khách hàng đã từng điều trị răng tại nước ngoài nhưng chưa hài lòng, hoặc muốn “lột xác” để tự tin hơn khi trở lại cuộc sống thường nhật, đều có thể thực hiện bọc răng sứ dịp này tại Nha Khoa Nhật Minh.
-> Gửi hình răng hiện tại để được bác sĩ tư vấn giải pháp phù hợp nhất qua Zalo
4. Quy trình làm răng sứ dành riêng cho khách Việt kiều
Bước 1: Tư vấn mẫu răng từ xa
Khách có thể gửi hình ảnh răng hiện tại để bác sĩ đánh giá, tư vấn loại sứ phù hợp và lên kế hoạch thiết kế mẫu răng trước khi về nước.
.png)
Bước 2: Thăm khám & Chụp phim, lấy dấu
Thăm khám đánh giá & tư vấn trực tiếp, sử dụng máy CT ConeBeam 3D và scan kỹ thuật số, đảm bảo đo khuôn chính xác, vừa vặn đến từng chi tiết.
.png)
Bước 3: Mài răng tối thiểu & gắn răng tạm
Bác sĩ lấy dấu răng và gắn răng tạm để ăn nhai, đảm bảo thẩm mỹ trong quá trình chờ đợi. Không đau – không ê buốt, bảo tồn mô răng tối đa.
.png)
Bước 4: Gắn răng sứ & hoàn tất
Răng sứ được chế tác tại labo nội bộ – kiểm duyệt nghiêm ngặt – đảm bảo độ sát khít, màu sắc tự nhiên và chức năng ăn nhai ổn định.

-> Đọc thêm thông tin về quy trình làm răng sứ tại: Quy trình bọc răng sứ chuẩn y khoa tại Nhật Minh
→ Ưu tiên sắp lịch mài răng theo thời gian lưu trú của khách Việt kiều – liên hệ sớm để được tư vấn và ưu tiên lịch sớm nhất.
5. Vì sao nên chọn Nha Khoa Nhật Minh để thẩm mỹ răng sứ?
5.1 Chuyên môn vững vàng, chuyên phục hình đa dạng
Tại Nha Khoa Nhật Minh, khách hàng luôn được điều trị bởi bác sĩ có hơn 10 năm kinh nghiệm trong lĩnh vực răng sứ. Chuyên xử lý các ca khó như răng sứ cũ bị hở viền, lệch khớp, thẩm mỹ hỏng tại các nơi khác. Phác đồ được cá nhân hóa, đảm bảo làm đẹp nhanh, chuẩn, không đau, không cần sửa lại.

5.2 Ứng dụng công nghệ hiện đại
Scan kỹ thuật số, thiết kế nụ cười bằng phần mềm, giúp bác sĩ mô phỏng kết quả trước khi điều trị và khách hàng có thể hình dung trước nụ cười sau hoàn thiện, răng sứ chế tác tại labo nội bộ. Tất cả giúp rút ngắn thời gian, đảm bảo độ chính xác cao và kết quả tự nhiên. Khách có thể gửi hình răng từ xa để lên phác đồ trước khi về nước.
.png)
5.3 Dịch vụ riêng cho Việt kiều, hỗ trợ tận nơi
Linh hoạt lịch hẹn theo thời gian lưu trú. Có xe đưa đón tận nơi (từ sân bay/khách sạn đến nha khoa), theo dõi từ xa sau điều trị. Bảo hành điện tử minh bạch, cam kết không đau, không phát sinh chi phí ngoài kế hoạch.

-> Gọi ngay hotline để giữ chỗ lịch điều trị Tết
6. Ưu đãi đặc biệt dành cho Việt kiều dịp Tết 2026
- Giảm ngay 20% chi phí bọc răng sứ cao cấp
- Miễn phí xe đưa đón từ sân bay/khách sạn
- Hỗ trợ theo dõi sau điều trị từ xa
Áp dụng từ 1/12/2025 – 30/1/2026
Xem chi tiết ưu đãi tại: Ưu đãi Răng Sứ Tết 2026
7. Câu hỏi thường gặp & lời khuyên từ chuyên gia
- Làm răng sứ có đau không? → Không. Kỹ thuật mài tối thiểu và thuốc tê giúp gần như không đau.
- Bao lâu thì hoàn thành? → 2–3 buổi. Có thể hoàn tất trong 3–5 ngày tùy số lượng răng.
- Có cần tái khám không nếu tôi đã về nước? → Không cần. Nha khoa hỗ trợ theo dõi online, hướng dẫn vệ sinh chi tiết.
- Tuổi thọ răng sứ bao lâu? → Từ 10–20 năm tùy loại răng và cách chăm sóc.
Nếu bạn đang chuẩn bị hành trình về quê đón Tết, hãy dành một chút thời gian để chăm sóc chính mình. Vì Tết là dịp đặc biệt để đoàn viên và một nụ cười rạng rỡ sẽ khiến mọi cuộc gặp gỡ thêm ý nghĩa.
Đặt lịch ngay để được ưu tiên thời gian điều trị trước Tết – Hotline: 18008280 - 093.888.1230 (24/24)
-> Gửi lịch bay và nhận hỗ trợ lộ trình điều trị qua Zalo chính thức của Nhật Minh



